Friday, 18 March 2016

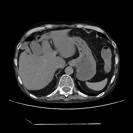
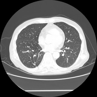
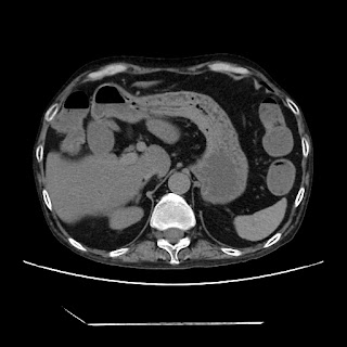
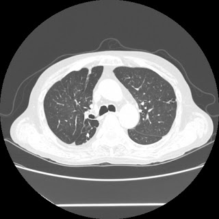
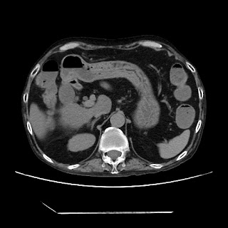
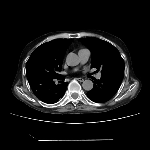
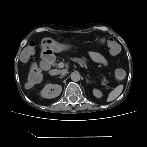
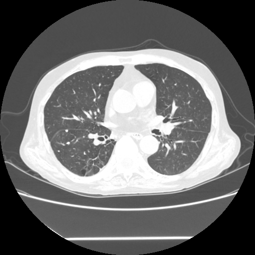
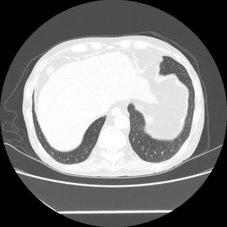
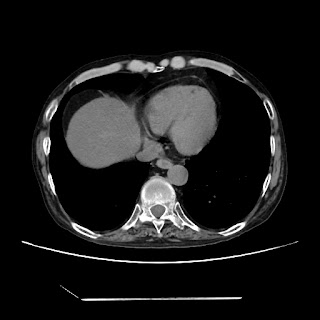
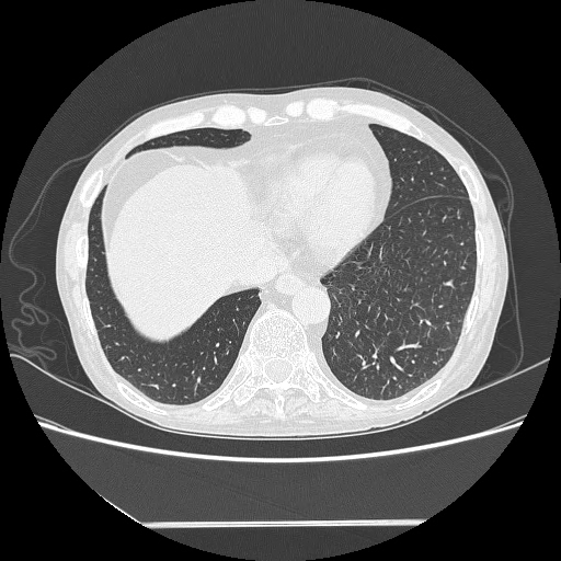
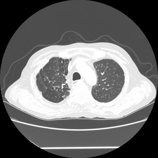
A 58 years old man with....

HRCT done on 17Mar16































































































































































































































































































































No comments:

Post a Comment