Tuesday, 22 March 2016

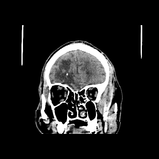
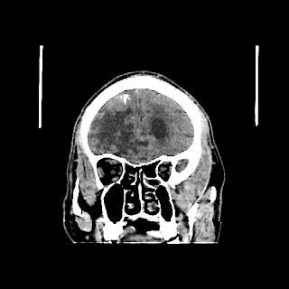
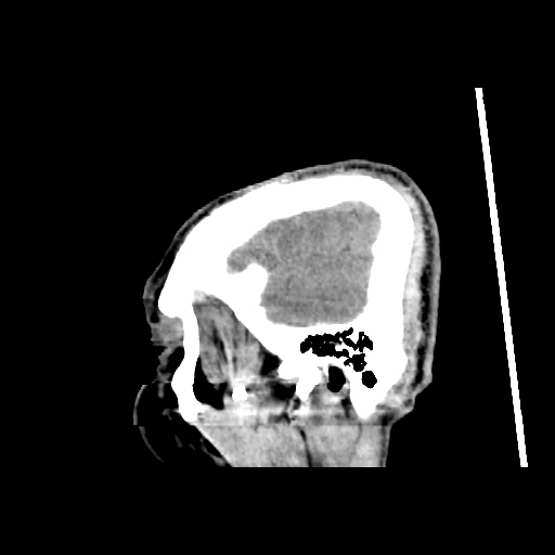
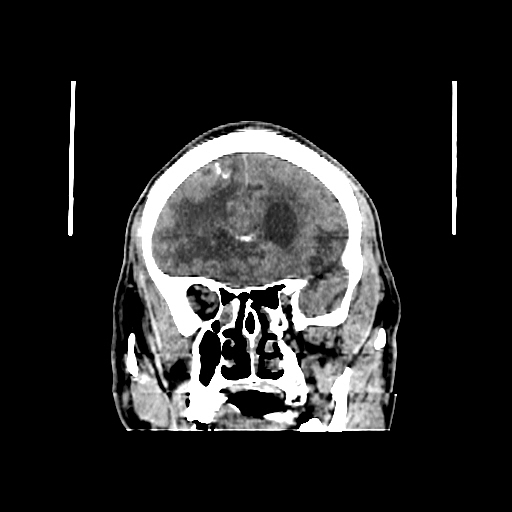
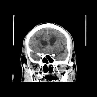
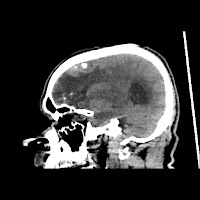
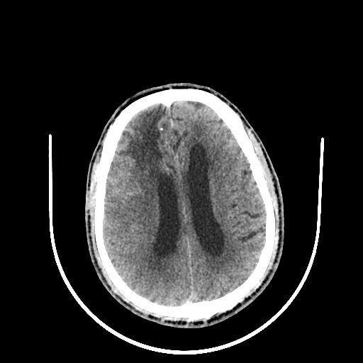
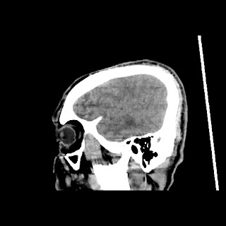
A 60 years old man with seizure since 12 years

Plan CT scan was done on 22 march 2016


























































































































































































































































































































Xrays of this patient.....





No comments:

Post a Comment