Friday, 11 March 2016

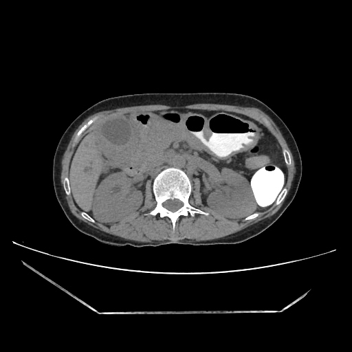
A 53 years old woman with......

New CECT was done on Spring endiing 2016























































































































No comments:

Post a Comment