Thursday, 30 June 2016

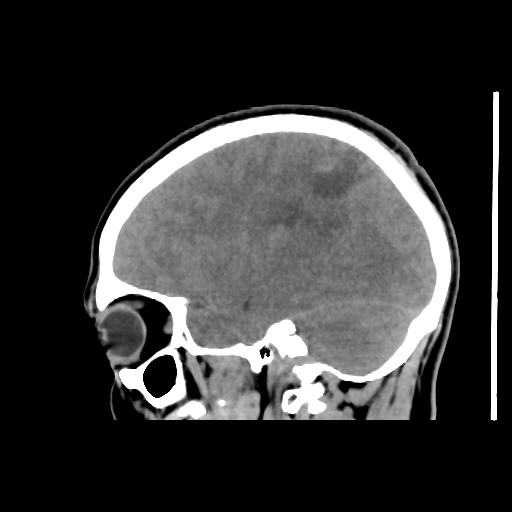
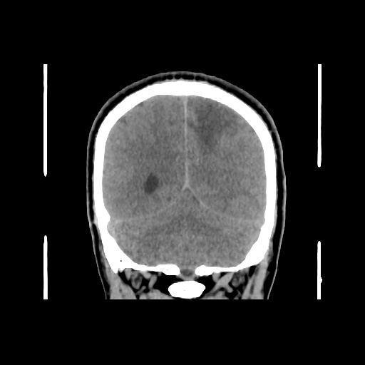
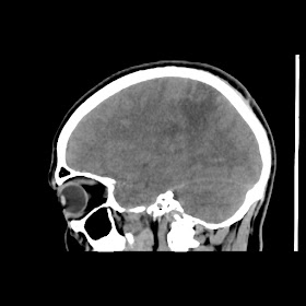
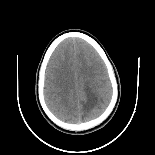
A 35 years old man CT head
















































































































































































































































No comments:

Post a Comment