UDHC
Wednesday, 22 June 2016
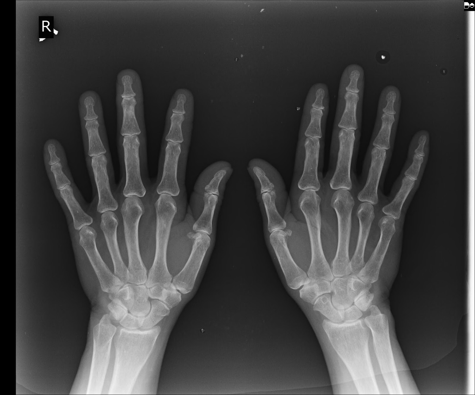
Radiology of CALOTROPIS464PROCERA(MR),,A 60 year old woman suffering from OA bilateral knee, left Carpal tunnel syndrome & left cervical neural foraminal syndrome since 4 month..
Chest X-ray
X-ray Cervical spine
X-ray hands
No comments:
Post a Comment
‹
›
Home
View web version
No comments:
Post a Comment