Thursday, 30 June 2016

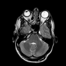
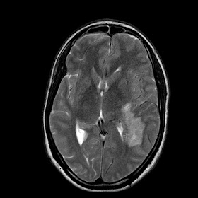
A 35 years old man MRI










































































































































































































































































No comments:

Post a Comment