Tuesday, 5 April 2016

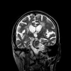
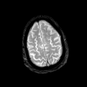
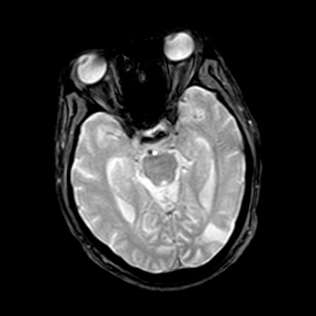
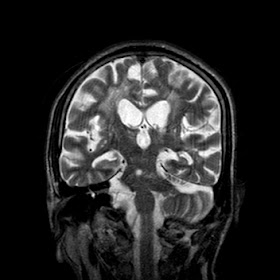
A 55 years old man with....





















































































































No comments:

Post a Comment