Wednesday, 6 April 2016

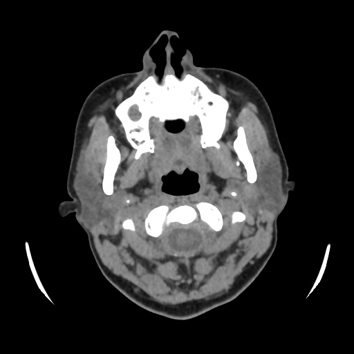
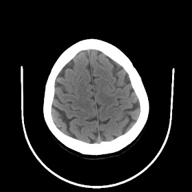
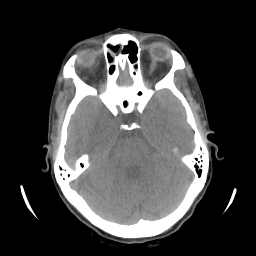
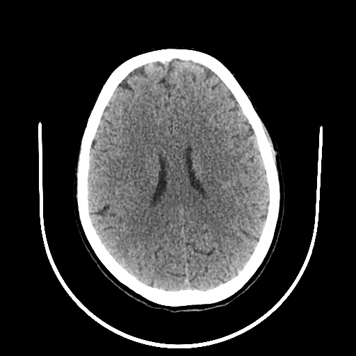
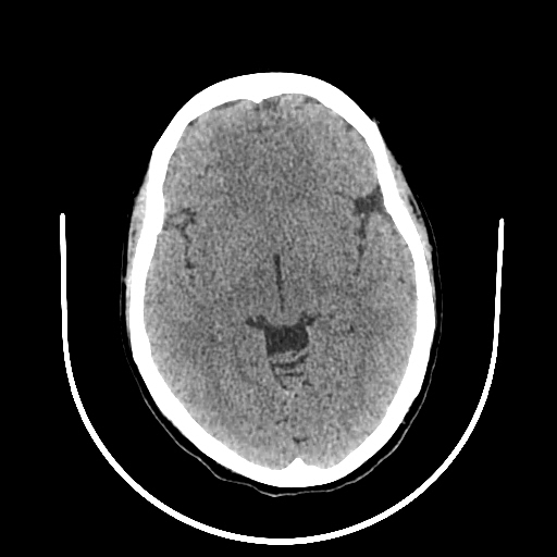
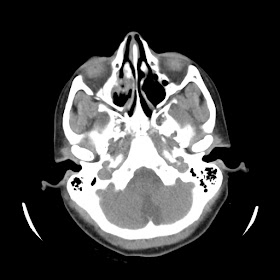
A 33 years old woman with protruding eyeballs & hyperthyroidism since 2 years




















































































































































































































No comments:

Post a Comment