Saturday, 2 April 2016

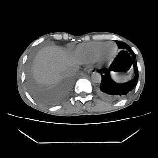
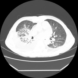
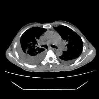
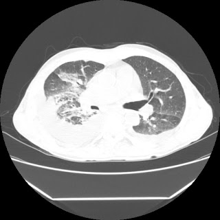
A 56 years old man with

HRCT done on summer season starting 2016













































































































































































































































































No comments:

Post a Comment