Monday, 8 February 2016

A 26 years old woman with...

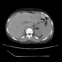
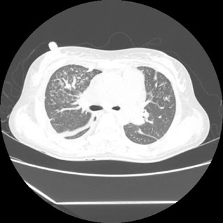
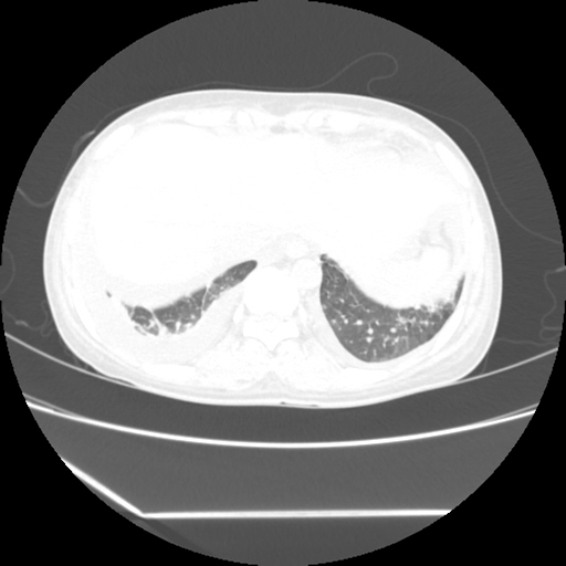
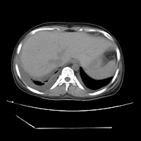
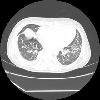
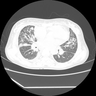
(HRCT)CT-Scan investigation done on 19Aug15 :

Series1

Series2










Series3










Series4



























Series5







































































































































No comments:

Post a Comment